基于CT&MRI的医学图像三维重构可视化系统”是唯顶国际多年来的研究成果之一,提供由CT及MRI二维断层图象序列重构成为具有直观立体效果图象的功能。该系统是在图像处理、计算机图形学等方面长期积累的研究成果的基础上,集三维重建及可视化等功能于一体的软件系统,已完全达到医学领域应用水平。本系统已经成功集成于PACS系统中。
本系统采用并行处理模式的数据管线技术,经过医学图像序列的预处理,实现超大数据医学图像的三维可视化,是一套面向人体建模的通用医学图像三维重建系统。主要包括以下模块:
1.二维系统功能模块。图像显示和图像处理,测量和标注,图像的几何变换,滤波处理等。用户可以选择多种方式阅片,并能通过滤波处理消除噪声,提高图像质量。同时还可以对图像进行标注,以便在阅片的同时记录获得的信息。系统还提供了测量手段,可以帮助医师根据个人的需要对图像进行测量,获得精确的定位信息。
2.三维数据处理模块。通过分割可将原始数据分成物体、背景、骨骼、软组织等多种类型,并将感兴趣的区域提取出来。系统提供了多种分析的方法,医生可以根据不同的对象选择适用的方法。由于切片图像可能没有反映出期望位置的信息,系统提供的切片插值处理可以在切片图像之间生产一系列的中间切片图像,帮助医生获得所需位置的切片。
3.切片重组模块。从医学成像设备上获取的一组切片图像往往是沿某一固定方向移动的切片数据,医生若想了解另外一个方向上的切片数据,就要重新扫描获取数据,而实际上由于硬件的限制,任意方向上的切片数据是不可能扫描得到的。系统通过切片重组这个功能,只要取得一个方向的一组切片,就可以由这一组切片数据重新获得其他方向的切片数据,进而从新的角度对被检测部位进行观察。
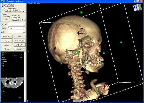
4.三维重建及可视化模块。从原始数据重建得到三维图像,以三维立体的方式再现原始图像,克服了传统平面阅片的缺点。而且可以对三维图像进行任意角度旋转、任意方向的平移以及剖切、手术开窗等操作,从而得到更加丰富的诊断信息。系统还提供对三维模型进行修改的参数的接口,包括:物体颜色,背景颜色,材质、漫反射,环境反射等。改变这些参数就能得到更真实的显示效果。

3D Post-Processing
三维后处理功能MPR(多平面重建)
